신경주사치료

DAPYEONHAN ORTHOPEDICS
신경주사치료

허리 통증의 원인이 척추 신경이 눌려서만 생기는 것이 아닌
압박된 신경에 염증이나 부종으로 인한 통증이 발생되는 경우가 많습니다.

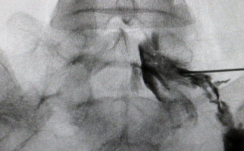
정의

특수 영상장비를 이용하여 미세바늘을 신경주변에 정확하게 위치시킨 후 신경 유착 방지제, 국소마취제, 염증완화약제를 투여하여 척추 신경과 디스크 주변의 부종과 염증을 호전시키는 치료로, 목·허리통증이나 팔·다리 통증이 호전되기 시작하여 일상생활이 부드러워 집니다.

신경주사치료
장점

짧은 시술시간

빠른 통증 완화

바로 일상생활 가능

미세 주사바늘 사용

비수술적 치료

치료과정

STEP1
위치확인

STEP2
바늘진입

STEP3
약물주입